Tumores En El Bazo En Perros. WebLos tumores del bazo, también conocidos como tumores del bazo, son tumores relativamente comunes en perros. Pueden ser no cancerosos o malignos. Tumores no..
WebTumores en perros aparecen con más frecuencia en animales de mediana edad y mayores. Buena parte de ellos, como hemos dicho, son detectados durante los controles por parte. WebCuando el bazo está sufriendo algún daño, este produce mucho dolor, porque ejercerá presión sobre algunos órganos, por lo que estos pueden presentar. WebUn tumor esplénico en perros se origina en los vasos sanguíneos del bazo. Como el bazo está formado por una gran matriz de vasos sanguíneos, los tumores esplénicos. WebEl tumor de bazo es un tipo de cáncer que es común en perros y relativamente raro en los gatos y sus signos a menudo dependen de la localización del tumor, que van desde la. WebEn perros, del 0,3 al 2 por ciento de los tumores registrados se encuentran en las necropsias; el siete por ciento de todos los tumores son malignos; y alrededor del 50 por. WebCáncer de Bazo en perros. Al igual que los seres humanos, los perros y en general los animales domésticos pueden sufrir un sin número de enfermedades, entre.
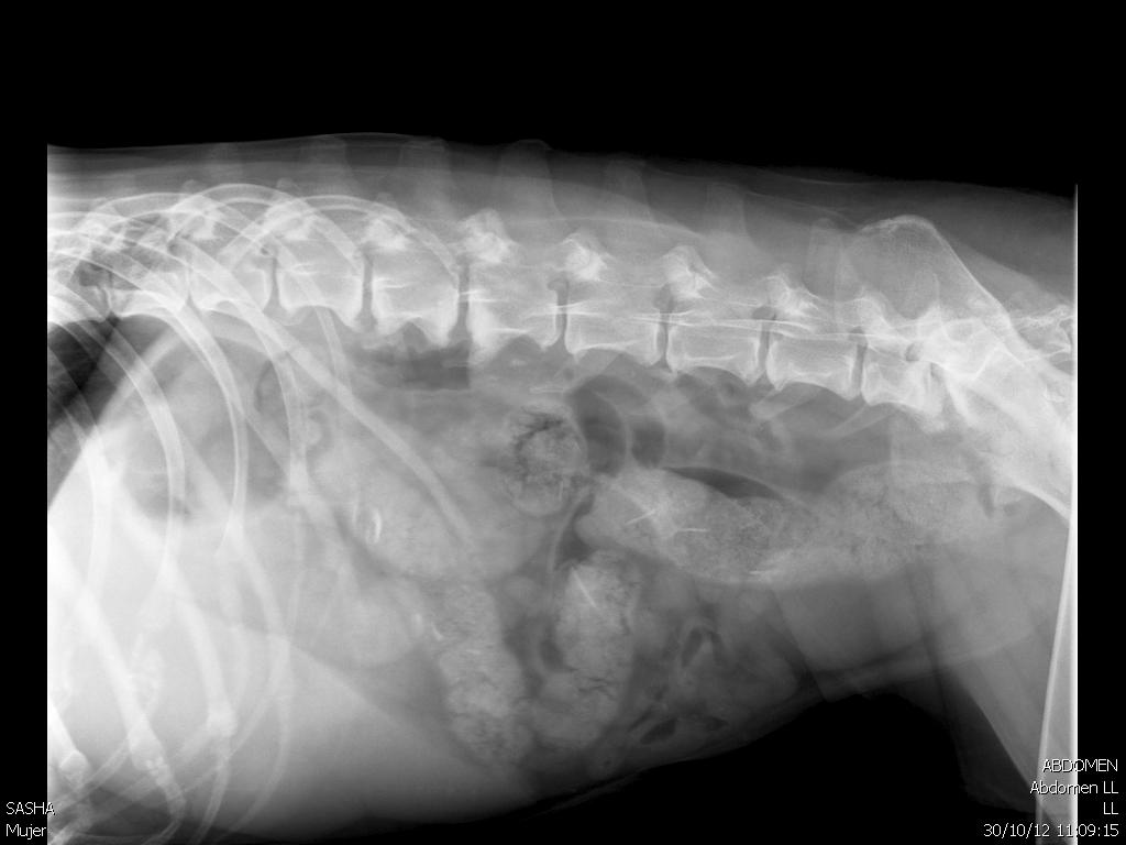
Tumor de bazo en perros
WebEl tumor de bazo es un tipo de cáncer que es común en perros y relativamente raro en los gatos y sus signos a menudo dependen de la localización del tumor, que van desde la. WebEn perros, del 0,3 al 2 por ciento de los tumores registrados se encuentran en las necropsias; el siete por ciento de todos los tumores son malignos; y alrededor del 50 por. WebCáncer de Bazo en perros. Al igual que los seres humanos, los perros y en general los animales domésticos pueden sufrir un sin número de enfermedades, entre. WebLos quistes sebáceos son un tipo de tumor benigno muy común en los perros. En pocas palabras, se producen por la acumulación de sebo, sustancia lipídica cuya función es. WebLas enfermedades más típicas que sufre el bazo son los tumores linfoma y hemangiosarcoma. El hemangiosarcoma es el tumor más frecuente en perros. Los. WebEl tumor de bazo es un tipo de cáncer que es común en perros y relativamente raro y sus signos a menudo dependen de la localización del tumor, que. WebSi es maligno ni que no reventar a terminará en metástasis y también, adiós perro. Si se opera hay mucho riesgo a que muera por su problema cardíaco, pero si sale bien y el.
