La Gingivitis Es Contagiosa Al Besar

3(3690 votes)
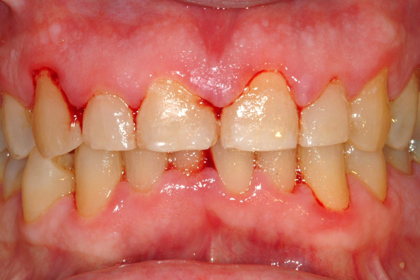
Common Dental Problem And Solution: Gingivitis: Cause and Management

La Gingivitis Es Contagiosa Al Besar. Web¿la gingivitis es contagiosa? Efectivamente, la enfermedad periodontal, sea en forma leve ( gingivitis ) o más severa ( periodontitis o piorrea ) puede transmitirse a través de la..

WebLa gingivitis es una enfermedad periodontal (es decir, de las encías) que causa irritación, inflamación y enrojecimiento en la parte de las encías que rodea a tus. WebLa gingivitis es la inflamación de las encías por un elevado numero de bacterias en la encía, la cual no solo la inflama si no la pone rojiza y sangra. El contacto físico, como el. WebLa gingivitis generalmente no se considera contagiosa, ya que comúnmente es causada por una acumulación de placa a lo largo de la línea de las encías. Las. WebEs cierto que las bacterias causantes de la periodontitis se pueden transmitir por la saliva. Pero también son necesarios otros factores, como la predisposición genética,. WebLa gingivitis descamativa NO se produce debido a la acumulación de placa dental, sino por una reacción inmunológica exagerada de la encía ante agentes irritantes. La principal.

Common Dental Problem And Solution: Gingivitis: Cause and Management

WebEs cierto que las bacterias causantes de la periodontitis se pueden transmitir por la saliva. Pero también son necesarios otros factores, como la predisposición genética,. WebLa gingivitis descamativa NO se produce debido a la acumulación de placa dental, sino por una reacción inmunológica exagerada de la encía ante agentes irritantes. La principal. WebLa gingivitis es la inflamación de las encías y se trata de la forma más leve de la enfermedad periodontal. Pero puede complicarse si no recibe tratamiento. La. WebLa caries NO es contagiosa pero las bacterias si se pueden pasar entre los dos, mientras mantengas un buen aseo oral no hay problema. Eso si, lleva a tu pareja al. WebSi tu pareja tiene gingivitis y la besas, te puede contagiar esta enfermedad periodontal que causa irritación enrojecimiento e inflamación en la parte de las encías. Web¿Se puede contagiar la gingivitis y la caries a través de los besos? Desde que éramos muy pequeños aprendimos lo importante que es tener una correcta limpieza dental para. WebLos besos no la transmiten. La gingivitis no es una enfermedad infecciosa o contagiosa, es más una inflamación por una mala higiene oral y el aumento de placa o sencillamente.

Common Dental Problem And Solution: Gingivitis: Cause and Management

Common Dental Problem And Solution: Gingivitis: Cause and Management
Source: pediatricdentists.blogspot.com 1200 x 630

gingivitis.

Gingivitis | Fundación Sonría

Gingivitis | Fundación Sonría
Source: www.sonria.com 2048 x 1365

.

Gingivitis: Qué es y cómo evitarla - Clínica Dental Lorenzo

Gingivitis: Qué es y cómo evitarla - Clínica Dental Lorenzo
Source: www.clinicalorenzo.com 800 x 592

.

Article Fulle Text

Article Fulle Text
Source: www.jcdr.net 1416 x 1048

gingivitis group patients intra oral showing jcdr.

Z59 NEWS & STORIES: Gingivitis

Z59 NEWS & STORIES: Gingivitis
Source: zsite59.blogspot.com 1600 x 1164

gingivitis causes probable.

Gingivitis: la enfermedad silencios | Blog Clínica Dental Casanova

Gingivitis: la enfermedad silencios | Blog Clínica Dental Casanova
Source: www.dentalcasanova.com 1024 x 683

.

Características Epidemiológicas de la Gingivitis Crónica en pacientes

Características Epidemiológicas de la Gingivitis Crónica en pacientes
Source: www.revmultimed.sld.cu 1024 x 663

.

Síntomas y tratamiento de la gingivitis en Madrid centro

Síntomas y tratamiento de la gingivitis en Madrid centro
Source: gonzalezycasado.com 2560 x 1507

.

Tratamiento de la gingivitis – Clínica Dental Luckow

Tratamiento de la gingivitis – Clínica Dental Luckow
Source: www.alvarezluckow.com 900 x 600

.

Gingivitis, inflamación y sangrado en tus encías - Más que Dientes

Gingivitis, inflamación y sangrado en tus encías - Más que Dientes
Source: www.masquedientes.com 1024 x 681

.

Gingivitis in children - causes, symptoms and treatment | Health Care

Gingivitis in children - causes, symptoms and treatment | Health Care
Source: qsota.com 1140 x 757

gingivitis children child gum disease gums qsota symptoms causes diseases however common limited most treatment.

Gingivitis

Gingivitis
Source: dentidental.blogspot.com 817 x 545

gingivitis enfermedad sangrado tratamiento ocasionada inflamación característica.

What is Gingivitis? (¿Que es la Gingivitis?) | Mi DENTAL

What is Gingivitis? (¿Que es la Gingivitis?) | Mi DENTAL
Source: www.midentalclinic.com 900 x 503

gingivitis.

Gingivitis: causas y remedios

Gingivitis: causas y remedios
Source: quesalud.com 1200 x 665

gingivitis causas remedios.

What is Gingivitis? | Aesthetica | Dental Clinic in New Alipore

What is Gingivitis? | Aesthetica | Dental Clinic in New Alipore
Source: aesthetica.co.in 1000 x 612

gingivitis gums remedios caseros efectivos aesthetica concerned saeger dirk tratar gencives.

Si tengo gingivitis, ¿tendré periodontitis? | Nart Clínica Dental

Si tengo gingivitis, ¿tendré periodontitis? | Nart Clínica Dental
Source: nartclinicadental.com 1000 x 500

.

Gingivitis | PERIODONTOLOGY | dental india, dental ahmedabad, umiya

Gingivitis | PERIODONTOLOGY | dental india, dental ahmedabad, umiya
Source: umiyadentalcare.blogspot.com 802 x 542

gingivitis mouth periodontology dental swollen gum gums oral red purple good care brushing.

¿Qué es la gingivitis? - Consulta Europea

¿Qué es la gingivitis? - Consulta Europea
Source: www.consultaeuropea.org 1500 x 1000

.

What is Gingivitis? Gingivitis Symptoms and Treatment

What is Gingivitis? Gingivitis Symptoms and Treatment
Source: www.edpdental.com 849 x 565

gingivitis gum disease periodontal symptoms inflammation gums swollen treatment dental inflamed dentist problem problems plaque severe.

Causas y síntomas de la gingivitis - YouTube

Causas y síntomas de la gingivitis - YouTube
Source: www.youtube.com 1280 x 720

.


Various videos from La Gingivitis Es Contagiosa Al Besar


Gallery of La Gingivitis Es Contagiosa Al Besar

Common Dental Problem And Solution: Gingivitis: Cause and Management
Gingivitis | Fundación Sonría
Gingivitis: Qué es y cómo evitarla - Clínica Dental Lorenzo
Article Fulle Text
Z59 NEWS & STORIES: Gingivitis
Gingivitis: la enfermedad silencios | Blog Clínica Dental Casanova
Características Epidemiológicas de la Gingivitis Crónica en pacientes
Síntomas y tratamiento de la gingivitis en Madrid centro
Tratamiento de la gingivitis – Clínica Dental Luckow
Gingivitis, inflamación y sangrado en tus encías - Más que Dientes
close