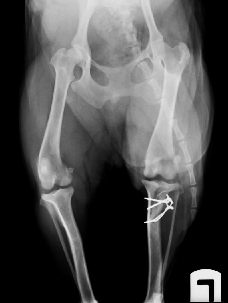
Ejercicios Para Luxación De Rótula En Perros. WebRótula de perro normal y rótula luxada. Aunque como decimos, ésta patología es típica de razas pequeñas, perros de razas grandes con displasia de cadera pueden desarrollar de. WebGrado III y IV – La rótula está de forma permanentemente luxada, con rotación externa muy notable de la pierna. Hay cojera moderada. Si es bilateral, los..
WebGrado I. Luxación de rótula intermitente, causando cojera de la extremidad solo cuando está fuera de su sitio. Son perros que cada tres o cuatro pasos levantan la. WebPara confirmar la sospecha de luxación patelar en perros, el veterinario palpará la rodilla cuidadosamente. Además, comprobará en qué medida y en qué dirección se luxa la. WebUna luxación rotuliana en perros es una de las anomalías más frecuentes de la articulación de la rodilla en los perros. La condición es más común en razas de perros de juguete y. WebEjercicios Para Luxación De Rótula En Perros Hola y gracias por visitar nuestro blog. En este artículo hablaremos de un producto de mucha calidad y muy buscado en tiendas en. WebClasificación de la luxación de rótula en perro. Existen varios sistemas de clasificación de la severidad de la luxación, pero el más usado por los clínicos es el de Roush, que.
GUÍA BREVE PARA ENTENDER QUÉ ES LA LUXACIÓN DE RÓTULA EN LOS PERROS
WebUna luxación rotuliana en perros es una de las anomalías más frecuentes de la articulación de la rodilla en los perros. La condición es más común en razas de perros de juguete y. WebEjercicios Para Luxación De Rótula En Perros Hola y gracias por visitar nuestro blog. En este artículo hablaremos de un producto de mucha calidad y muy buscado en tiendas en. WebClasificación de la luxación de rótula en perro. Existen varios sistemas de clasificación de la severidad de la luxación, pero el más usado por los clínicos es el de Roush, que. WebA continuación apretaremos la pelota con ambas rodillas, intentando que las dos piernas hagan la misma fuerza. Elevar pierna inferior: nos colocaremos. WebShow more. 🦴LUXACIÓN DE RÓTULA EN PERROS Hoy os hablamos de la LUXACIÓN DE RÓTULA en perros y os contamos el caso de Lupe, esta YorkShire que padecía un. WebLa operación de luxación de rotula para perros significa conseguir que el hueso no duela al perro y pueda caminar y correr sin problemas. Se trata de la reconstrucción del hueso y. WebEn la situacion de las rodillas, existen varios ejercicios que se tienen la posibilidad de llevar a cabo, pero los más destacados son: Los paseos acuáticos asisten a recobrar la. WebLa otra rotula nunca le ha quedado al 100% y sigue casi igual de coja que antes d la operacion. Esta perra tuvo cachorros (yo no sabia que eso se heredaba) y uno de ellos. WebMasoterapia para perros con luxación de rótula. La terapia de masaje y el ejercicio correctivo pueden beneficiar a los perros con luxación leve de rótula. El.



